Introduction to Microsurgery - The Science and Art of Precise Wound Closure
Our next open date for the course will be:
Febuary 5 - 7, 2026
To receive further information about the dates, prices, please contact: Levi Bernath: This email address is being protected from spambots. You need JavaScript enabled to view it.
Program Chair:
- J. David Cross, DDS – USA
- Bryan S. Pearson, DDS, MS – USA
J. David Cross D.D.S. is in private practice in Springfield Illinois. Dr. Cross’s Graduated from DePauw University with a degree in Mathematics. He attended Loyola University School of Dentistry for both his Dental and Periodontal degrees.
Dr. Cross has been personally trained in Microsurgery by Dr. Dennis Shanelec, the Founder of Periodontal and Dental Implant Microsurgery. He was in Dr. Shanelec’s microsurgery study club Dentorati for its entire 17 years. Dr. Cross has taught Microsurgery and The SMILE Technique ( Immediate Microsurgical Implant Placement in the Esthetic Zone with Temporization) at Dr. Shanelec’s Microsurgery Training Institute, along with courses in the United States, Europe and Asia. Dr. Cross is also on the Periodontics Faculty of Loisiana State University teaching Microsurgery. the oldest and first Graduate Microsurgery University course in North America.
Dr. Cross is also a Contributing author to the international textbooks Carranza’s Clinical Periodontology, Periodontal and Peri-Implant Plastic Microsurgery and future textbook Microsurgery in Periodontics and Implant Dentistry - Concepts and Applications.
Bryan S. Pearson, D.D.S., M.S. is in private practice in Lafayette Louisiana. Dr. Pearson graduated from The University of Louisiana at Lafayette with a degree in Biology & Chemistry. He received his D.D.S. from Louisiana State University Dental School and completed a General Dentistry Residency at the USAF Medical Center, Wright-Patterson, Ohio. He received a Certificate and M.S. Degree in Periodontics from the combined graduate program at Wilford-Hall USAF Medical Center/University of Texas Health Science Center at San Antonio.
Dr. Pearson is a Clinical Associate Professor in the Department of Periodontics at LSU Dental School. Along with Drs. David Cross and Randy Comeaux, he is a faculty member of Microsurgery Training in the Periodontics Residency at LSU. He is a former Director and Chairman of the American Board of Periodontology, and he is the Director of the LSU Perio Review Course.
Dr. Pearson was trained in microsurgery by Dr. Dennis Shanelec at the Microsurgery Training Institute, and he was a member of the Dentorati microsurgery study group. He also completed the Microsurgery Training Course at the Cleveland Clinic. Along with Dr. Cross, he is a contributing author to the Carranza’s Clinical Periodontology and the upcoming textbook Microsurgery in Periodontics and Implant Dentistry – Concepts and Applications.
Day 1 - Workshop Sessions and Theoretical Part
-
9:00 AM – 10:30 AM
Welcome & Introduction Lecture:
9:00 AM – 10:30 AM
History and the Different Protocols today in Microsurgery
Challenges About Learning
-
10:30 AM – 11:00 AM
Coffee Break
10:30 AM – 11:00 AM
-
11:00 AM – 1:00 PM
Hands-on Workshop:
11:00 AM – 1:00 PM
Microsurgical techniques using
8-0, 9-0, 10-0 and 11-0 Sutures Part I.
-
1:00 PM – 2:00 PM
Lunch Break
1:00 PM – 2:00 PM
-
2:00 PM – 3:30 PM
Hands- on Workshop:
2:00 PM – 3:30 PM
Microsurgical techniques using
8-0, 9-0, 10-0 and 11-0 Sutures Part II.
-
3:30 PM – 4:00 PM
Coffee Break
3:30 PM – 4:00 PM
-
4:00 PM – 5:00 PM
Hands-On Workshop:
4:00 PM – 5:00 PM
Bloodvessel suturing, Vascular Suturing And Anastomosing
Using 8-0, 9-0, 10-0 and 11-0 Sutures
Day 2 - Workshop Sessions and Theoretical Part
-
9:00 AM – 10:45 AM
Hands-on Workshop:
9:00 AM – 10:45 AM
Suturing techniques with 8-0, 9-0, 10-0 and 11-0
In Mobile Conditions
-
10:45 AM – 11:00 AM
Coffee Break
10:45 AM – 11:00 AM
-
11:00 AM – 1:00 PM
Hands-on Workshop:
11:00 AM – 1:00 PM
Advanced Vascular Surgery Techniques
-
1:00 PM – 2:00 PM
Lunch Break
1:00 PM – 2:00 PM
-
2:00 PM – 3:30 PM
Hands- on Workshop:
2:00 PM – 3:30 PM
Finalizing Vascular Suturing
In Very Difficult Situations
-
3:30 PM – 4:30 PM
Hands- on Workshop:
3:30 PM – 4:30 PM
Microsurgery performed on Moulage Models
-
4:30 PM – 5:00 PM
Discussion and handing out the certificates
4:30 PM – 5:00 PM
Day 3 – Workshop Sessions and Theoretical Part
-
9:00 AM – 10:45 AM
Hands-on Workshop:
9:00 AM – 10:45 AM
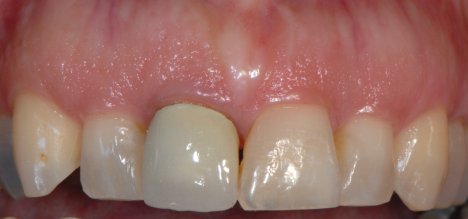
Central Incisor Impression
Osteotomy Technique with Implant Placement
-
10:45 AM – 11:00 AM
Coffee Break
10:45 AM – 11:00 AM
-
11:00 AM – 1:00 PM
Hands-on Workshop:
11:00 AM – 1:00 PM
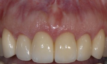
Fabrication of Custom Composite Temporary Crown
-
1:00 PM – 2:00 PM
Lunch Break
1:00 PM – 2:00 PM
-
2:00 PM – 3:30 PM
Hands- on Workshop:
2:00 PM – 3:30 PM
Completion of Temporary Crown
Fabrication of Custom Impression Transfer Coping
-
3:30 PM – 4:30 PM
Hands- on Workshop:
3:30 PM – 4:30 PM
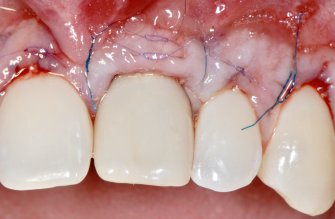
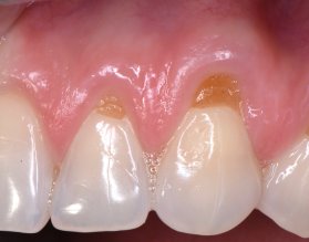
Harvest CTG with Continuous Suture Wound Closure
Placement of Bone Graft and CTG and Custom Composite Temporary Crown
-
4:30 PM – 5:00 PM
Discussion and handing out the certificates
4:30 PM – 5:00 PM










